Bladder stones in dogs
Overview
- Bladder stones can develop in any dog, but some breeds are much more prone to them, for example Dalmatians, Bulldogs, Miniature Schnauzers, and Dachshunds.”
- Dogs with bladder stones often develop symptoms such as pain while peeing, peeing little and often, and blood in their urine.
- Bladder stones can turn into an emergency if they cause a blockage and can stop your dog from peeing altogether.
- If your dog has been diagnosed with bladder stones, the treatment they need will depend on the type of stone they have – some types can be dissolved with a special diet, while others need to be surgically removed.
What are bladder stones?
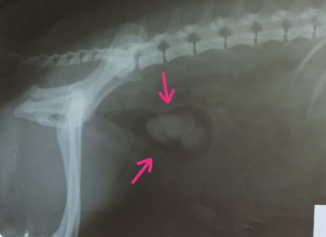
Bladder stones (also called uroliths) are rock-like structures that form when minerals build up in urine. They can be as small as a grain of sand, or as big as the bladder. Some dogs develop just one stone, but others develop multiple. Most bladder stones stay put in the bladder, but smaller ones can sometimes travel through the urethra (the thin tube that takes urine out of the body), get stuck and cause a blockage. If this happens, your dog won’t be able to pee, which is an emergency. Blockages are much more common in male dogs because they have a thinner, longer urethra than female dogs.
What causes bladder stones?
Bladder stones can develop in any dog, but some breeds are much more prone to them, for example . Bladder stones usually form when there is an imbalance of minerals in the urine causing them to build up and form stones. Certain factors can make it more likely for your dog to develop bladder stones including frequent urinary tract infections (UTI), a type of liver disease called a ‘portosystemic shunt’, and certain medications such as steroids and diuretics if used long term. There are a few different types of bladder stone, the most common being: struvite, calcium oxalate, cystine and ammonium urate.
Symptoms of bladder stones
Some dogs show no signs of having bladder stones at all, whereas others develop a very irritated bladder, which can cause the following symptoms:
- Straining to pee
- Pain (whimpering or yelping) while peeing
- Peeing in very small amounts
- Peeing more often
- Blood in urine
- Peeing in the house
- Drinking more
If a bladder stone is blocking your dog’s urethra (the thin tube that takes urine out of the body), you may see the following symptoms:
If you think your dog has a blockage and is not able to pee, contact your vet straight away for an emergency appointment.
Diagnosis
Your vet will ask you some questions about your dog and will feel your dog’s tummy. If they have large bladder stones your vet may be able to feel them, but it’s likely that they will need to carry out further tests, such as X-rays or an ultrasound of the bladder to confirm. A special dye is sometimes injected into the bladder to make the stone appear bright on x-rays.
Your vet might also ask for a fresh urine sample, which can be used to test the acidity of your dog’s urine, check for infection, and look for crystals (which can sometimes be seen at the same time as stones). This may give a clue as to what type of stone it is. However, the only way to truly confirm the type of stone is to send it to a lab for testing after it’s removed.
Your vet may also suggest blood tests in some circumstances to check if there has been any effect on your dog’s organs.
Treatment
Treatment for bladder stones depends on what type of stone your dog has, and how they are coping with it. There are a number of different ways to treat bladder stones:
Special diet
Some bladder stones (but not all) can be dissolved by feeding a special diet that changes the acidity of your dog’s pee.
- For the diet to work, it needs to be the only thing your dog eats, i.e. no treats or other types of food.
- It can take weeks to months for the diet to fully dissolve the stone, depending on the size of it.
- Your vet may advise x-rays to check the diet is working.
- Using a diet to dissolve your dog’s stones avoids them having a general anesthetic and surgery, but as mentioned above, it’s not suitable for all types of stones and may not be recommended if your dog has another medical condition that could be affected by the diet. It’s also important to be aware that their stone(s) are still a blockage risk until they are fully dissolved.
Stone removal
Some stones can’t be dissolved by a special diet, so need to be physically removed. This is nearly always the case if a stone is causing a blockage as this is an emergency. There are a number of different ways to remove bladder stones:
- Bladder surgery: the most common way to remove bladder stones is to surgically open the bladder through the tummy and extract them. You may hear this surgery being called a cystotomy.
- Urethral surgery: if a stone is stuck in the urethra (the thin tube that takes urine from the bladder to the outside), your vet may need to make an opening in the urethra itself to remove it. If your dog is at a high risk of it happening again, they may need this hole left permanently open so they can pee and pass small stones through it. This is a more complicated surgery. You may hear this surgery called urethrotomy or urethrostomy
- Bladder flushing: small stones can sometimes be removed by flushing the bladder with sterile water.
- Basket retrieval: a long thin device with a tiny camera is put into the urethra (the thin tube that takes urine from the bladder to the outside) to find and remove stones. This equipment is usually only found at specialist referral centres.
- Laser surgery: a laser is used to break up the stones into smaller pieces so they can pass naturally in urine. This equipment is usually only found at specialist referral centres. You may hear this procedure called a laser lithotripsy.
Antibiotics
It’s quite common for dog’s with bladder stones to also develop a urinary tract infection – if this is the case for your dog, they may need antibiotics alongside their other treatment.
Outlook
Your dog’s outlook will vary depending on the type of bladder stone they have, where it is and how well your dog responds to treatment. The outlook for most dogs is good if there is no blockage. However, many stones recur, so keeping your dog on a special diet is important. Your vet will guide you as to how long your dog needs to stay on it.
Prevention
It’s important to get your dog examined by your vet promptly if you notice any symptoms of urinary tract infections, as this will reduce their chances of developing bladder stones. If your pet has been advised to go on a special diet, staying on this for as long as your vet advises is important to prevent new stones from forming. Ensure your dog has plenty of fresh, clean water available at all times.
Cost
Treatment for bladder stones can become very expensive, so it’s important to speak openly with your vet about the cost of treatment, your finances, and what you think is right for your dog. There is sometimes more than one treatment option, so if one doesn’t work for you/your pet then your vet may be able to offer another.
Consider insuring your dog as soon as you get them, before any signs of illness start to ensure you have financial support to care for them.
Are bladder stones the same as kidney stones?
No kidney stones are different from bladder stones as they are in a different part of the body, although they are both connected. Kidney stones are much less common compared to bladder stones. Dogs with kidney stones may show no symptoms; or they may have blood in their pee, pain near their spine and you might notice them drinking and peeing more often.
Published: January 2024
Did you find this page useful?
Tell us more
Please note, our vets and nurses are unable to respond to questions via this form. If you are concerned about your pet’s health, please contact your vet directly.
Thank you for your feedback
Want to hear more about PDSA and get pet care tips from our vet experts?
Sign up to our e-newsletter
Written by vets and vet nurses. This advice is for UK pets only. Illustrations by Samantha Elmhurst.
